09 квітня 2024

19:00 за київським часом

Проходження непрохідних каналів

  • клініка
  • діагностика
  • менеджмент

30 днів

Важливо: запис вебінару доступний 30 днів з моменту проведення вебінару

Сертифікат

Після перегляду вебінару, протягом 7 днів вам на пошту прийде лист із сертифікатом, якщо ви купували запис вебінару, напишіть нам і ми надішлемо сертифікат

Бали за перегляд

Наразі ми не нараховуємо бали за вебінари.

Проходження складних каналі

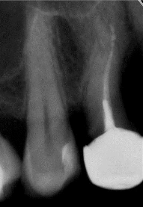
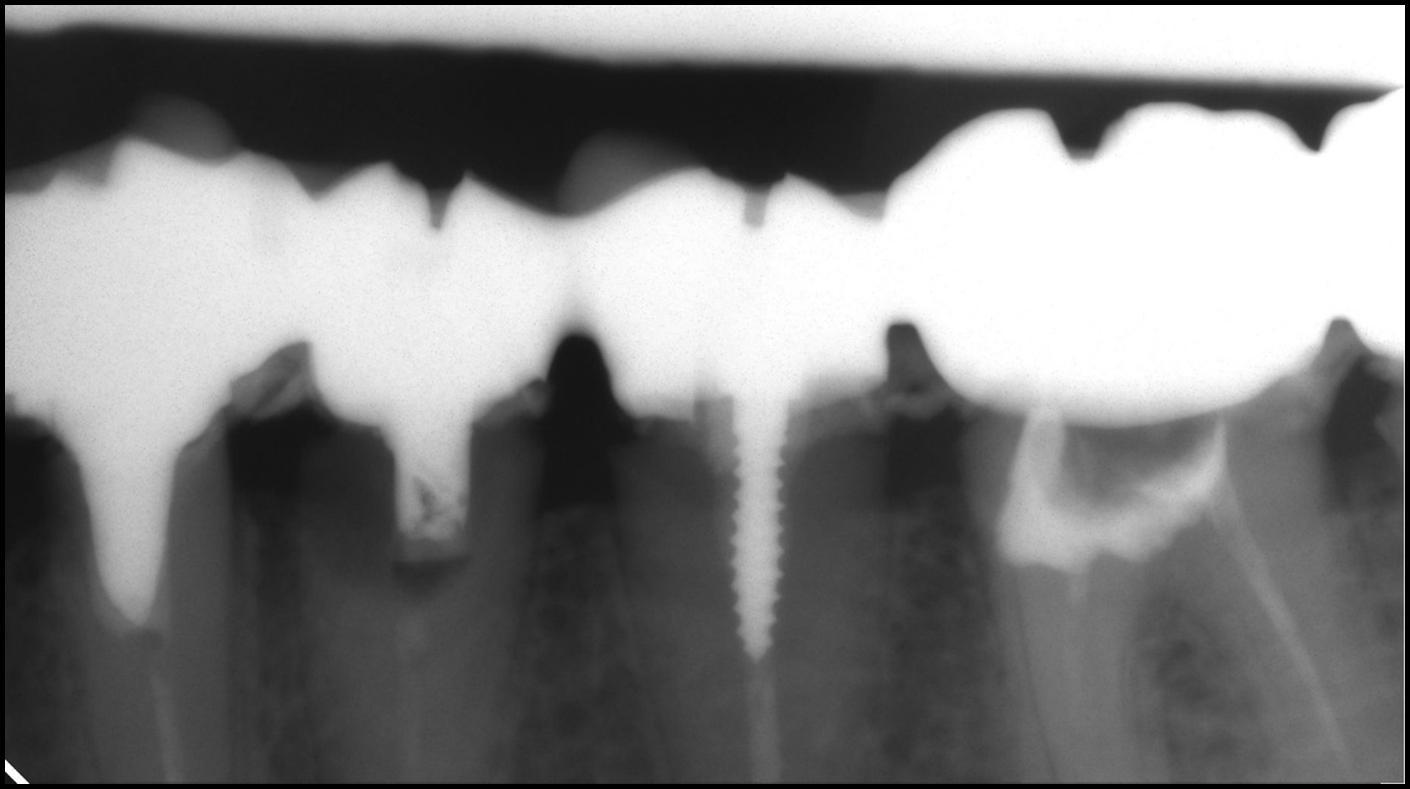
Чи бувають непрохідні канали? Які ознаки прохідності? коли треба зупинитися і ухвалити рішення не йти далі. Механізм роботи зі ступенями із застосуванням мікроскопа і без, Механізм нівелювання сходинок. Фішки обтурації каналів при неможливості обійти або нівелювати сходинки.

Ігор Ноєнко

"Проходження непрохідних каналів"

  • 09 квітня 2024
  • 19:00 за київським часом
Поширені запитання
  • Так.
  • 1. Якщо ви купили вебінар у записі, посилання прийде протягом 5 хвилин на пошту, якщо посилання не надійшло перевірте папку спам. 2. Якщо ви купили участь у вебінарі, підтвердження одразу прийде на пошту, а за день та за годину до початку вебінару ви отримаєте посилання на участь.
  • Після перегляду вебінара в прямому ефірі протягом 7 днів вам на пошту прийде лист із сертифікатом. Якщо ж ви купували запис вебінара, вам потрібно написати нам - і ми надішлемо сертифікат.
  • Актуальну інформацію по балам дивіться на сторінці вебінара.
  • Онлайнова оплата LiqPay або Приват24. Ви можете оплатити замовлення онлайн банківською карткою Visa та / або MasterCard. Після вибору цього різновиду платежу Ви будете переадресовані на сторінку системи безпечних платежів банку, де Вам необхідно буде підтвердити оплату. Після оплати вам на пошту надійде лист із покликанням на вебінар. З питань повернення або технічних моментів звертайтесь до адміністратора: stomatwebinar30@gmail.com, Viber/Whatsapp +380 96 648 52 80
  • Ми надаємо знижку 20% на купівлю серії вебінарів. Детальніше можете ознайомитись тут.

Служба підтримки

Ми завжди допоможемо вирішити Вашу проблему якнайшвидше. Ми не використовуємо ботів і до кожного клієнта маємо індивідуальний підхід.

Служба підтримки

Ми завжди допоможемо вирішити Вашу проблему якнайшвидше. Ми не використовуємо ботів і до кожного клієнта маємо індивідуальний підхід.