Ігор Ноєнко

Запис вебінару

Перфорації кореневого каналу

  • клініка
  • діагностика
  • менеджмент

30 днів

Важливо: запис вебінару доступний 30 днів з моменту проведення вебінару

Сертифікат

Після перегляду вебінару, протягом 7 днів вам на пошту прийде лист із сертифікатом, якщо ви купували запис вебінару, напишіть нам і ми надішлемо сертифікат

Бали за перегляд

Наразі ми не нараховуємо бали за вебінари.

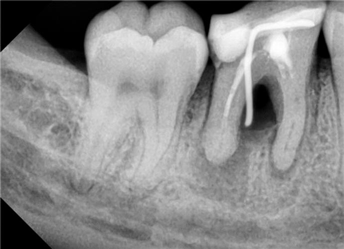
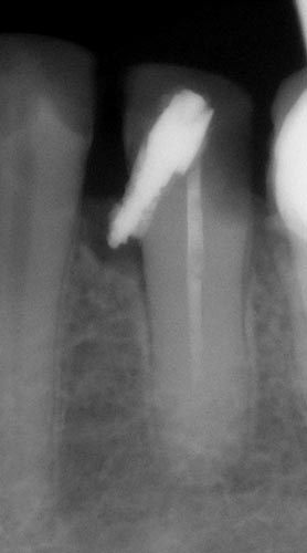
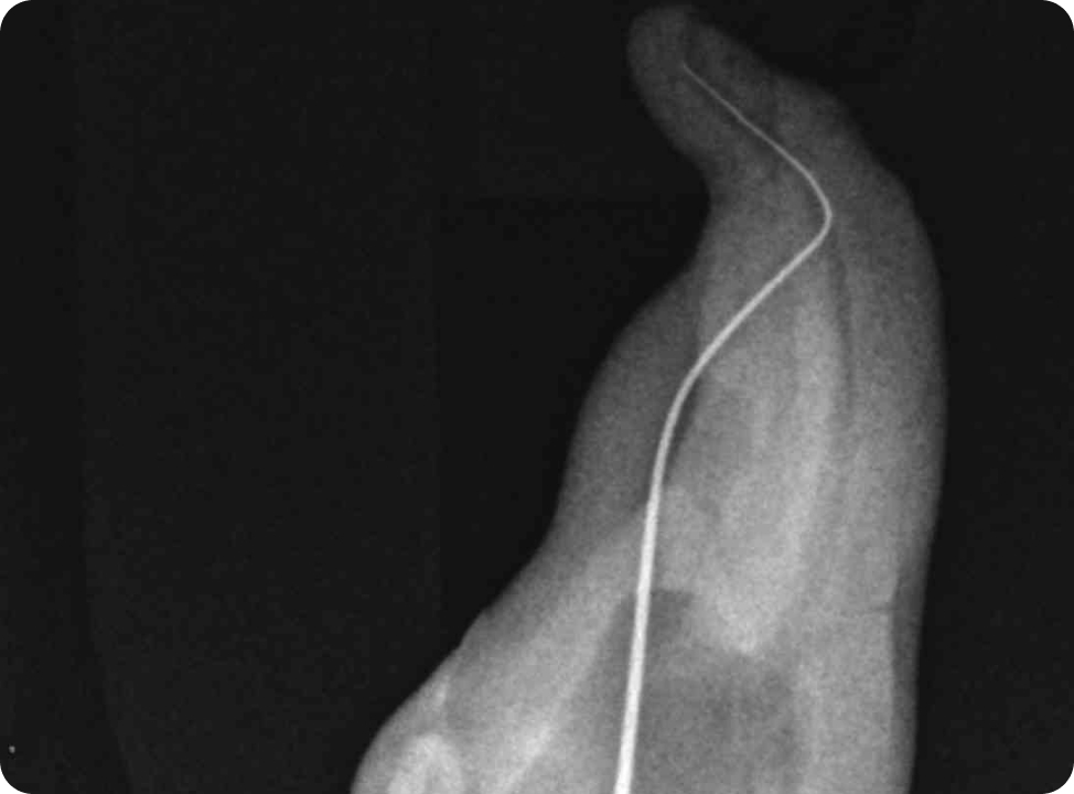
Перфорації корня каналу

Класифікація перфорацій. Вплив розташування на прогноз і тактику.

Вибір матеріалу в залежності від розташування і розміру перфорації( фуркаційна, середньої третини і апікальна)

Чи є найкращий матеріал для закриття перфорації?

Правила використання композиту для закриття перфорації.

Використання біокерамічних силерів, переваги і недоліки

Сучасний «золотий стандарт» МТА? Чому МТА може не застигати? Робота з перфорацією один чи два візити? Вплив на прогноз. Відеодемонстрація роботи з різними матеріалами і різною локацією. Допоміжне обладнання при роботі з мікроскопом і без. Прогноз закриття перфорацій. Розгляд клінічних питань слухачів щодо перфорацій( підготувати клінічні ситуації). Вебінар надає 1 бал БПР,

Ігор Ноєнко

"Перфорації" кореневого каналу

  • Ігор Ноєнко
  • Запис вебінару
Поширені запитання
  • Так.
  • 1. Якщо ви купили вебінар у записі, посилання прийде протягом 5 хвилин на пошту, якщо посилання не надійшло перевірте папку спам. 2. Якщо ви купили участь у вебінарі, підтвердження одразу прийде на пошту, а за день та за годину до початку вебінару ви отримаєте посилання на участь.
  • Після перегляду вебінара в прямому ефірі протягом 7 днів вам на пошту прийде лист із сертифікатом. Якщо ж ви купували запис вебінара, вам потрібно написати нам - і ми надішлемо сертифікат.
  • Актуальну інформацію по балам дивіться на сторінці вебінара.
  • Онлайнова оплата LiqPay або Приват24. Ви можете оплатити замовлення онлайн банківською карткою Visa та / або MasterCard. Після вибору цього різновиду платежу Ви будете переадресовані на сторінку системи безпечних платежів банку, де Вам необхідно буде підтвердити оплату. Після оплати вам на пошту надійде лист із покликанням на вебінар. З питань повернення або технічних моментів звертайтесь до адміністратора: stomatwebinar30@gmail.com, Viber/Whatsapp +380 96 648 52 80
  • Ми надаємо знижку 20% на купівлю серії вебінарів. Детальніше можете ознайомитись тут.

Служба підтримки

Ми завжди допоможемо вирішити Вашу проблему якнайшвидше. Ми не використовуємо ботів і до кожного клієнта маємо індивідуальний підхід.

Служба підтримки

Ми завжди допоможемо вирішити Вашу проблему якнайшвидше. Ми не використовуємо ботів і до кожного клієнта маємо індивідуальний підхід.