Запис вебінару

Мирослав Гончарук-Хомин

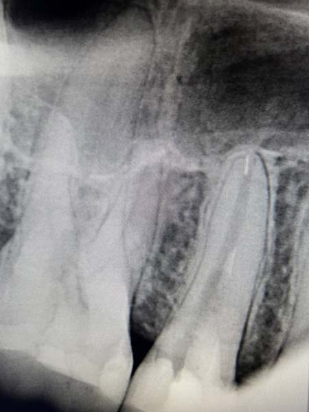
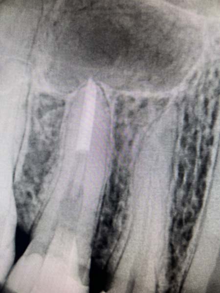
Менеджмент сепарованих ендодонтичних інструментів

  • клініка
  • діагностика
  • менеджмент

30 днів

Важливо: запис вебінару доступний 30 днів з моменту проведення вебінару

Сертифікат

Після перегляду вебінару, протягом 7 днів вам на пошту прийде лист із сертифікатом, якщо ви купували запис вебінару, напишіть нам і ми надішлемо сертифікат

Бали за перегляд

Наразі ми не нараховуємо бали за вебінари.

"Менеджмент сепарованих ендодонтичних інструментів"

Як не ламати інструменти в кореневих каналах: причини та фактори ризику?

Сепаровані файли і прогноз ендодонтичного лікування: доказова база

Детальний розбір методів вилучення сепарованих ендодонтичних інструментів з кореневого каналу (з мікроскопом і без)

Коли ризик перевищує користь: в яких випадках вилучені інструменти ліпше не вилучати із кореневого каналу? Що робити з ускладненнями при вилученні сепарованих ендодонтичних інструментів?

Мирослав Гончарук-Хомин

Регалії: PhD, DDS, завідувач кафедри терапевтичної стоматології ДВНЗ «Ужгородський національний університет», практикуючий лікар-стоматолог

Автор 135 наукових фахових публікацій, з них 40 – у наукометричних база Scopus та WoS

Рецензент понад 20 Scopus-індексованих наукових журналів

Науковий редактор Pesquisa Brasileira em Odontopediatria e Clínica Integrada (Бразилія), Ukrainian Dental Journal (Україна), Journal of International Dental and Medical Research(Туреччина), Journal of Medical and Dental Investigations (Туреччина)

Амбасадор Digital Dentistry Society в Україні

Директор Науково-навчального центру судової стоматології (Україна)

Мирослав Гончарук-Хомин

"Менеджмент сепарованих ендодонтичних інструментів"

  • Запис вебінару
  • Мирослав Гончарук-Хомин
Поширені запитання
  • Так.
  • 1. Якщо ви купили вебінар у записі, посилання прийде протягом 5 хвилин на пошту, якщо посилання не надійшло перевірте папку спам. 2. Якщо ви купили участь у вебінарі, підтвердження одразу прийде на пошту, а за день та за годину до початку вебінару ви отримаєте посилання на участь.
  • Після перегляду вебінара в прямому ефірі протягом 7 днів вам на пошту прийде лист із сертифікатом. Якщо ж ви купували запис вебінара, вам потрібно написати нам - і ми надішлемо сертифікат.
  • Актуальну інформацію по балам дивіться на сторінці вебінара.
  • Онлайнова оплата LiqPay або Приват24. Ви можете оплатити замовлення онлайн банківською карткою Visa та / або MasterCard. Після вибору цього різновиду платежу Ви будете переадресовані на сторінку системи безпечних платежів банку, де Вам необхідно буде підтвердити оплату. Після оплати вам на пошту надійде лист із покликанням на вебінар. З питань повернення або технічних моментів звертайтесь до адміністратора: stomatwebinar30@gmail.com, Viber/Whatsapp +380 96 648 52 80
  • Ми надаємо знижку 20% на купівлю серії вебінарів. Детальніше можете ознайомитись тут.

Служба підтримки

Ми завжди допоможемо вирішити Вашу проблему якнайшвидше. Ми не використовуємо ботів і до кожного клієнта маємо індивідуальний підхід.

Служба підтримки

Ми завжди допоможемо вирішити Вашу проблему якнайшвидше. Ми не використовуємо ботів і до кожного клієнта маємо індивідуальний підхід.